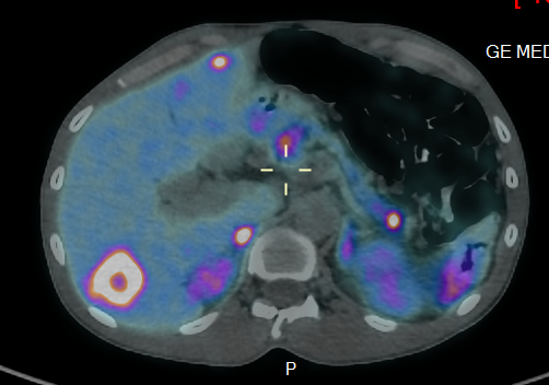
Le PET/CT au 68-Ga-DOTATOC est l'examen le plus sensible actuellement pour détecter des tumeurs neuroendocrines bien différenciées, car il détecte les récepteurs de la somatostatine (SSTR) fortement exprimés par les TNE. Cette méthode a remplacé la scintigraphie à l'Octréotide (Octréoscan), car elle offre une meilleure sensibilité et localisation de la lésion tumorale.


Les patients doivent être à jeun de nourriture pendant au moins 6 heures. Les médicaments par voie orale peuvent être pris régulièrement. Les injections de Sandostatine LAR doivent toujours être effectuées après le PET/CT 68-Ga-DOTATOC et non pas avant.
Pour augmenter le taux de détection de petites lésions dans l'abdomen, un scanner supplémentaire avec injection de produit de contraste peut s’avérer être nécessaire.
L'examen PET/CT au 68-Ga-DOTATOC n'est pas affecté par une glycémie élevée ou une augmentation des taux d'insuline. Par conséquent, aucune préparation spéciale n'est nécessaire et le patient peut prendre son traitement antidiabétique normalement.
Le PET/CT au 68-Ga-DOTATOC peut être réalisé également en présence d’altération de la fonction rénale.
En cas d’allaitement, celui-ci doit être arrêté pendant 12 heures après l'examen. Pour les examens PET, seules des quantités minimales de traceur sont nécessaires grâce à la haute sensibilité des détecteurs. Par conséquent, aucune interaction avec d'autres médicaments ou réactions allergiques ne sont attendues.
Le PET/CT au 68-Ga-DOTATOC est couvert par la plupart des compagnies d'assurance sur la base de l’une des indications suivantes :
- Staging et re-staging de tumeurs neuroendocrines bien différenciées
- Contrôle de la thérapie
- Évaluation pour un traitement potentiel au Lutetium-177-DOTATATE