
Atherosclerosis is the primary cause of arterial occlusion due to the development of large plaques.
Periperal artery disease (PAD) is caused by occlusion of lower limb arteries, leading to poor irrigation (ischemia) of tissues, which can lead to amputation. When PAD progresses to critical limb threatening ischemia (CLTI), the only treatment is surgical revascularization.

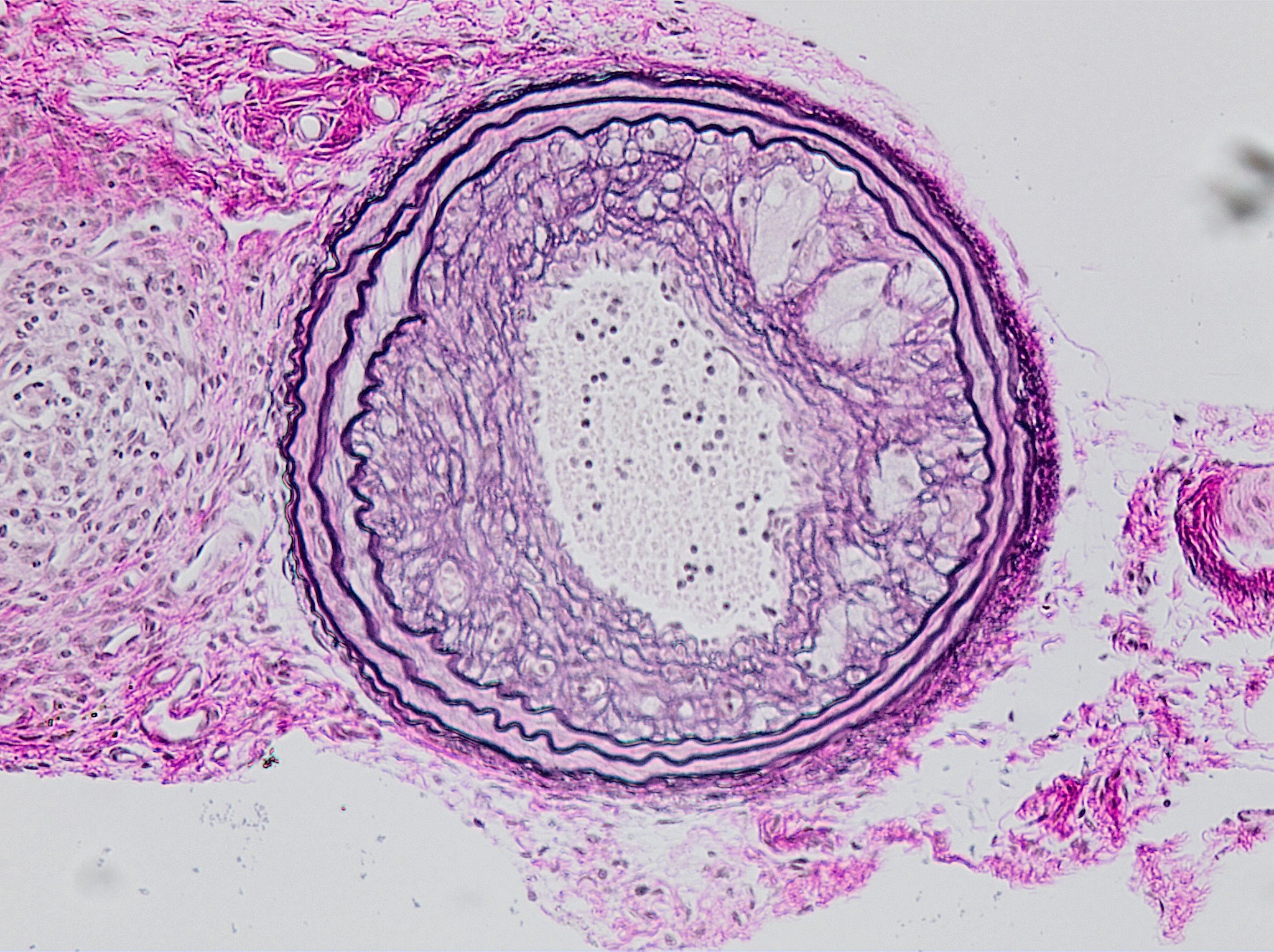
Following vascular surgery, the trauma to the operated arteries triggers complex remodeling and healing processes, which results in the development of intimal hyperplasia (IH). Intimal hyperplasia (IH) is a universal response of a vessel to injury. It leads to the progressive occlusion of vessels following vascular surgery. The occurrence of restenosis due to intimal hyperplasia (IH) remains the bane of all vascular surgery as it is the first cause of late graft failure, both in vein, synthetic vascular grafts, and after endovascular angioplasty and stenting.
The pathophysiology of IH is still poorly understand. We are using various models of IH using discarded vein segments from patients and animal models to decipher this pathology and test new treatments.