Areas of investigation

Our research targets key challenges in abdominal and oncology imaging through four main pillars:

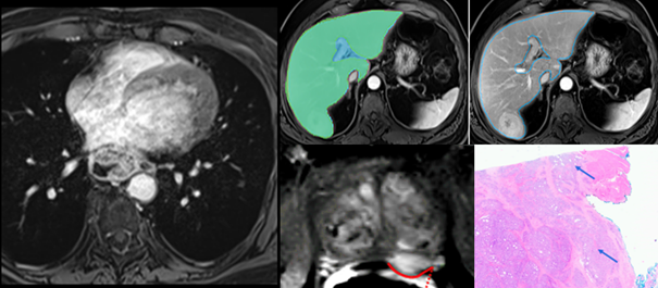
  1. Hepatic and Functional Imaging: The management of patients with chronic liver diseases such as cirrhosis, including those with hepatocellular carcinoma (HCC), lies at the heart of our hepatic imaging research. Additionally, we develop quantitative Ultrasound and MRI methods (DWI, T1/T2 mapping, fingerprinting) to assess liver function in conditions as cirrhosis, fibrosis, steatosis and HCC. Collaborations with the Microstructure Mapping Lab of UNIL, EPFL and CIBM but also with our colleagues from other specialties such as hepatologists, oncologists and surgeon help tailor these tools to clinical needs.
  2. Advanced MRI for Gastrointestinal Tumors: In partnership with Microstructure Mapping Lab and EPFL, we optimized multiparametric MRI protocols for esophageal and colorectal cancer—supporting staging, treatment monitoring, and lymph node characterization.
  3. AI and Radiomics in Oncology Imaging: We collaborate on radiomic signature identification and AI-based tools for liver, pancreas, and esophageal cancers. Deep learning models enhance HCC detection and clinical decision support. Collaborations with the Translational Machine Learning Lab, HES-SO Valais are key for success. 
  4. Low-Field MRI: We innovate low-field MRI sequences for accessible, sustainable cancer imaging, especially for prostate imaging and oncological applications.
 Last updated on 19/06/2025 at 11:44